Transform Your Smile with Comprehensive Full Mouth Reconstruction
Full mouth reconstruction combines cosmetic dentistry and restorative dental care to simultaneously address multiple oral health challenges. With over 15 years of experience, our Naples, FL dental office creates customized treatment plans that rebuild damaged smiles into healthy, functional, and radiant ones.
If you have missing teeth, worn enamel, TMJ issues, or aesthetic concerns, our team is here to help you regain a properly cared-for smile you can be proud of.
What Is Full Mouth Reconstruction?
Full mouth reconstruction involves a series of dental treatments to restore the health, function, and appearance of your teeth, gums, and jaw. This approach addresses tooth loss, extensive decay, bite misalignment, and temporomandibular joint (TMJ) disorders.
By treating problems with the jaw muscles, teeth, and bite, we help patients achieve a pain-free smile that looks and feels natural. Our goal is to rebuild your natural teeth when possible or replace them with advanced dental solutions that restore full function.
Personalized Treatment Options for Full Mouth Reconstruction
We understand that every smile is unique at our Naples, FL dental practice. We customize each full mouth reconstruction plan based on your specific oral health needs and personal goals.
Dental Implants and Bone Grafting
If you are looking for a permanent and natural-looking solution for replacing missing teeth in Naples, FL then you are a candidate for dental implants. They preserve jawbone health, enhance chewing ability, and create a beautiful smile. In some cases, patients may require bone grafting to build a stable foundation for implant placement.
Bone grafting restores bone volume lost due to tooth loss or periodontal disease, ensuring successful, long-lasting implant results.
Dental Crowns, CEREC Crowns, and Bridges
When teeth are severely damaged but still savable, dental crowns offer a strong and aesthetic restoration. We proudly offer CEREC technology, providing same-day crowns to restore your smile without multiple visits.
Dental bridges are another excellent option for replacing missing teeth by anchoring to teeth on either side of the gap. Both dental crowns and bridges play a critical role in protecting natural teeth and restoring function quickly and effectively.
TMJ Treatment and Bite Realignment
If you suffer from discomfort or dysfunction related to the temporomandibular joint (TMJ), we offer effective TMJ treatments designed to restore harmony to the jaw muscles, joints, and teeth. By addressing alignment issues, we can alleviate jaw pain, headaches, and muscle tension, allowing you to enjoy pain-free dental function once again.
Correcting your bite improves comfort and ensures long-term stability for your dental restorations.
Cosmetic Enhancements with Veneers and Porcelain Restorations
Enhancing your smile’s appearance is an important part of full mouth reconstruction. We offer dental veneers and porcelain veneers to transform teeth that are discolored, chipped, or slightly misaligned.
Veneers typically provide a minimally invasive solution that enhances the color, shape, and alignment of your teeth, giving you a natural-looking, radiant smile that complements your facial features.
The Full Mouth Reconstruction Process
Your journey toward a beautiful smile begins with a thorough consultation and examination using advanced dental technology in Naples, FL. To develop a tailored treatment plan, our experienced dentist will assess your teeth, gums, jaw function, and facial aesthetics.
We often utilize temporary solutions such as temporary crowns to protect teeth while permanent restorations are being crafted. We carefully plan each phase of your reconstruction to ensure the highest level of comfort, efficiency, and stunning results.

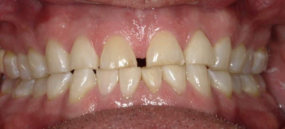
Before

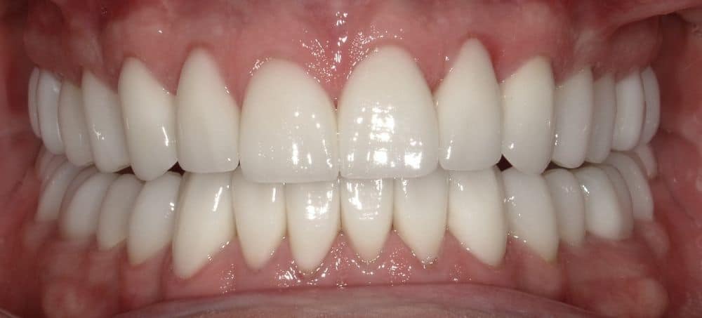
After
Benefits of Full Mouth Reconstruction
Choosing full mouth reconstruction offers more than just aesthetic improvements. It delivers functional and health benefits that improve your overall quality of life.
Some of the key benefits include:
- Restoring full chewing ability and bite strength
- Protecting jawbone integrity and preserving facial structure
- Enhancing the appearance of your smile with natural-looking results
- Reducing or eliminating jaw, bite, and muscle pain
- Improving overall dental health and preventing future problems
When properly cared for, your restored smile can last for decades, providing daily beauty, comfort, and confidence.
Recovery After Full Mouth Reconstruction
Recovery after full mouth reconstruction varies depending on the treatments involved, but most patients find the process manageable and rewarding. Our team will provide detailed post-treatment instructions to ensure a smooth healing period.
During the initial days following procedures, mild sensitivity or swelling is common, particularly after dental implants, bone grafting, or TMJ treatments. Temporary crowns or provisional restorations help protect teeth during the healing phase.
Most patients can resume normal activities within a few days to a week, with final results appearing once permanent restorations like porcelain veneers, dental crowns, or implant-supported teeth are placed.
Our dental team is always available to guide you through recovery and ensure that you achieve the healthiest and most beautiful results possible.
Frequently Asked Questions About Full Mouth Reconstruction
Curious about the process? Here are answers to some of the most common questions patients ask about full mouth reconstruction.
Why Choose Our Dentist in Naples, FL?
At Massa Dental Center, we have proudly served the Naples dental community for over 15 years, providing exceptional care and stunning smile transformations. Our commitment to pain-free procedures, cutting-edge technology, and personalized attention sets us apart.
Whether you’re restoring a few natural teeth or undergoing a full reconstruction with dental implants, porcelain veneers, and CEREC crowns, our team ensures that your smile is properly cared for at every stage.
We understand that choosing full mouth reconstruction is a big decision, and we’re honored to guide you through the process with compassion and expertise.
Schedule Your Full Mouth Reconstruction Consultation Today
Don’t wait another day to reclaim a healthy, functional, beautiful smile. At Massa Dental Center in Naples, FL, we offer the treatment options and expertise needed to restore your confidence and improve your quality of life.
Call us at (239) 597-7333 to schedule your full mouth reconstruction consultation. Let us help you achieve a radiant, properly cared-for smile you’ll love sharing with the world.
